PRODUCT

°í°´¸¸Á·À» À§ÇØ Áö¼ÓÀûÀ¸·Î °í¹ÎÇϰí Çõ½ÅÇÏ¿© ÃÖ°íÀÇ Ç°ÁúÀ» Á¦°øÇÕ´Ï´Ù.

Antidodies

Product > Antidodies
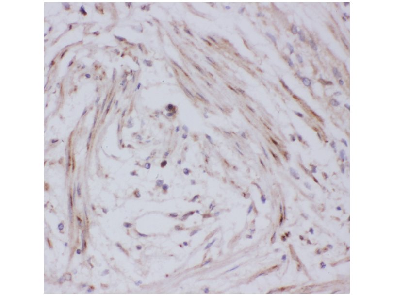
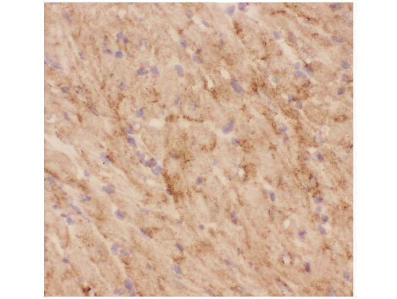
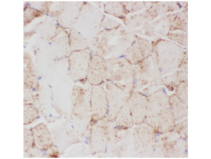
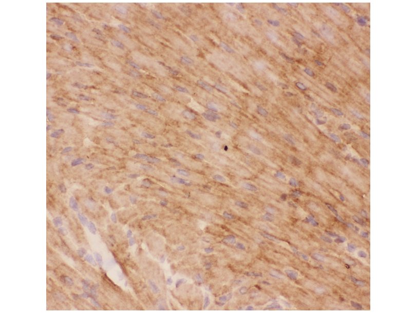
SLC2A4 antibody
CAS No ABIN3043929
Á¦Á¶»ç antibodies-online
¿ø»êÁö/³³±â ¿µ±¹
Àç°í 1 EA
±Ý¾× 225,000¿ø



Product name : SLC2A4 antibody (Solute Carrier Family 2 (Facilitated Glucose Transporter),

                      Member 4) (AA 333-509)

Epitope : AA 333-509

Reactivity : Human, Mouse (Murine), Rat (Rattus)

Host : Rabbit

Clonality  : Polyclonal

Conjugate : This SLC2A4 antibody is un-conjugated

Application : Immunohistochemistry (Frozen Sections) (IHC (fro)), Immunohistochemistry

                 (Paraffin-embedded Sections) (IHC (p)), Western Blotting (WB)

 

Go to see detailed product information

: https://www.antibodies-online.com/antibody/3043929/anti-Solute+Carrier+Family+2+Facilitated+Glucose+Transporter,+Member+4+SLC2A4+AA+333-509+antibody/

 

 

* ÇöÀç ±¹³»Àç°í º¸À¯ºÐ(1°³) 60% DCÆÇ¸Å  Áß*

 

  

¢Â Contact us¢Â

   Tel. 031-653-7658
    Fax. 031-8039-4411
    e-mail. info@syinnovation.co.kr 
   Kakaotalk ID "»ï¿µÀ̳뺣À̼Ç" À» °Ë»ö